General Dentistry in Westchester, NY Comprehensive Care for Your Whole Family
Struggling to find a dentist who provides complete family care under one roof? At Westchester Dental Implant Institute, Dr. Krinick offers comprehensive general dentistry services for patients of all ages from routine cleanings and preventive care to crowns, bridges, and emergency treatment. With 45+ years of experience and a commitment to gentle, patient-focused care, maintain your family's oral health with one trusted dental home.
Comprehensive General Dentistry for Every Stage of Life
Your oral health affects your overall wellbeing—from heart health and diabetes management to confidence and quality of life. General dentistry focuses on preventing dental problems before they start and treating issues promptly when they arise. At Westchester Dental Implant Institute, we provide complete family dental care including routine cleanings, exams, fillings, crowns, bridges, gum disease treatment, and emergency services. Dr. Krinick's comprehensive approach combines preventive care with advanced restorative treatments, ensuring your teeth and gums stay healthy for life while addressing any concerns with expertise and compassion.

Our General Dentistry Services
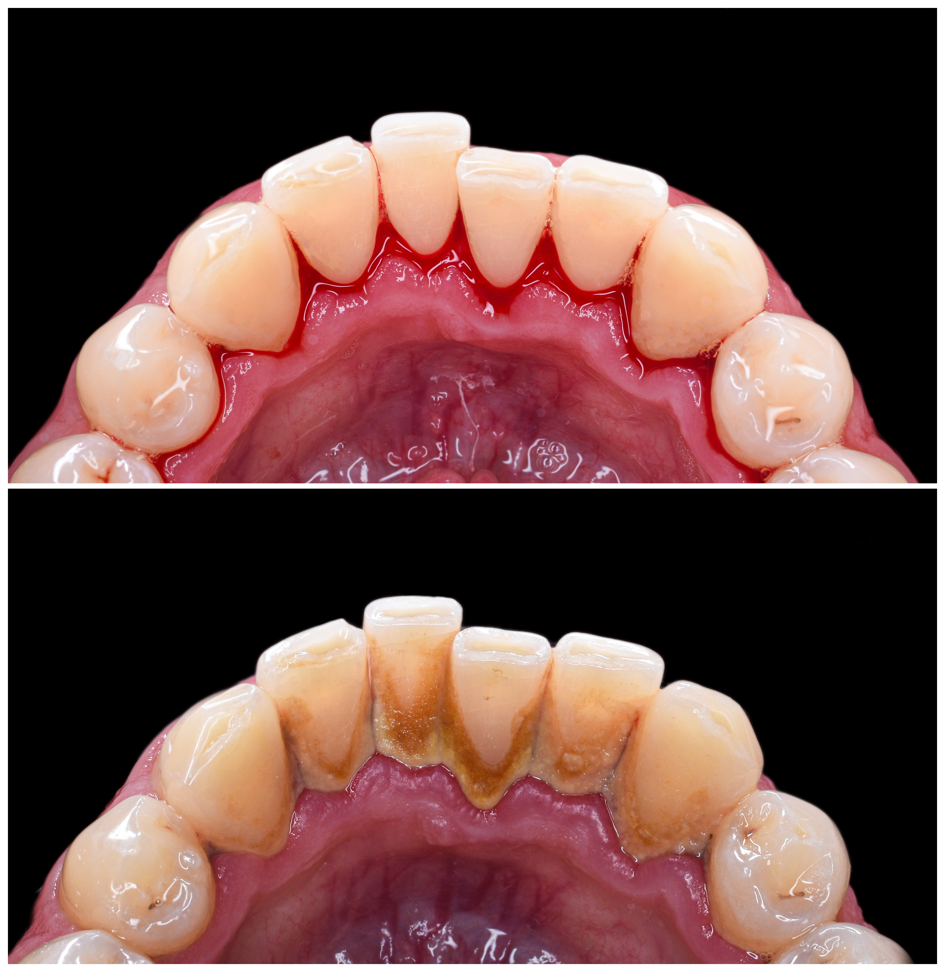
Complete dental care for every member of your family.
Dental Cleaning & Exams
Professional cleanings and comprehensive exams to prevent cavities, gum disease, and catch problems early.

Gum Disease / Deep Cleaning
Advanced treatment for gum disease including deep cleaning, scaling, and root planing to restore gum health.

Dental Crowns
Custom crowns to restore damaged, decayed, or broken teeth with natural-looking, durable results.

Emergency Dental Care
Same-day emergency treatment for pain, injuries, infections, and urgent dental problems.

Dental Bridges
Fixed bridges to replace missing teeth and restore your smile's function and appearance.

Why Choose Dr. Krinick for General Dentistry in Westchester
Finding a dentist you trust with your family's oral health is essential. Dr. Krinick's 45+ years of experience, gentle approach, and commitment to comprehensive care make Westchester Dental Implant Institute the dental home your family deserves—providing everything from preventive cleanings to advanced restorative treatments under one roof.
45+ years providing gentle, comprehensive dental care for patients of all ages and dental needs
Complete family dentistry services from routine cleanings to advanced crowns, bridges, and emergency care
Patient-focused approach emphasizing prevention, early detection, and minimally invasive treatment


"Dr. Krinick has been our family dentist for years. He's gentle, thorough, and always takes time to explain everything. We trust him completely with our dental care."
%20(1).png)
Hear It From People Like You
Our patients' stories speak louder than anything we could say.
The Benefits of Comprehensive General Dentistry
Regular general dentistry care prevents painful dental emergencies, saves money by catching problems early, and keeps your smile healthy and beautiful for life. Invest in prevention now to avoid costly treatments later.
Early detection prevents costly dental emergencies
Professional cleanings remove buildup regular brushing misses
Personalized treatment plans address your specific dental needs
FAQs
Here are some common questions about general dentistry to help you understand better.
Most patients should visit the dentist every 6 months for routine cleanings and exams. Some patients with gum disease or other conditions may need more frequent visits (every 3-4 months). Regular visits prevent problems and catch issues early when they're easier and less expensive to treat.
Dr. Krinick performs a comprehensive examination including checking for cavities, gum disease, oral cancer screening, bite alignment, and existing dental work. X-rays may be taken to detect problems not visible to the eye. A professional cleaning removes plaque and tartar buildup that regular brushing can't eliminate.
Most dental insurance plans cover preventive care (cleanings, exams, X-rays) at 100% and restorative care (fillings, crowns) at 50-80%. Coverage varies by plan. Our team will verify your benefits and provide cost estimates before treatment.
For dental emergencies—severe pain, knocked-out teeth, broken teeth, infections, or facial swelling—call our office immediately at (914) 633-8102. We provide same-day emergency appointments and can guide you on immediate steps to take before you arrive.
Yes, routine dental care is safe and important during pregnancy. Hormonal changes increase risk of gum disease, which has been linked to premature birth. Cleanings and most treatments are safe during pregnancy. Inform Dr. Krinick if you're pregnant or planning to become pregnant.
Need more information?
Our team is ready to answer your specific questions.
Schedule Your Family's Dental Appointment
Don't wait for a dental emergency. Schedule routine care today and keep your family's smiles healthy for life.

Location
Visit Westchester Dental Implant Institute
New Rochelle
47 Potter Ave 2nd Fl, New Rochelle, NY 10801
Hours: Mon-Sat 9am-5pm
New York City
919 2nd Ave #2, New York, NY 10017
Hours: Mon-Sat 9am-5pm
